Service Details

Dental Implant

Image

What Are Dental Implants?

Dental implant is the perfect method and lifetime solution for replacing missing or badly damage tooth, absence of teeth for function and aesthetics. In absence of teeth human face in bite and chewing. Result in malnutrition and incomplete diagnosis. Only dental implants allow you to return the functionality of the tooth completely instead of natural teeth. With this you can enjoy your favorite Food like meat, nuts etc.

Instantly reverse age with missing teeth the face has a sunken appearance and a person looks much older than he/she on the actually with dental implant this is reverse immediately and a well-balanced natural and radiant smile is gained. This process alone would make one look at least 20 years youngest.

Successful replacement of teeth with implants is an extremely 'technique sensitive' process, requiring great expertise. An advanced titanium structure is anchored into the bone where the tooth is to be replaced. This structure acts like a support for the 'crown' or the artificial tooth. These mechanics are exactly similar to how a natural tooth anchors itself, and therefore, dental implants are the ideal replacement solution.

We Only Use Those Implant Systems which meet the most stringent of international quality standards. Some of the brands that we use, BICON & NOBEL BIOCARE.

Aesthetics, Prosthetics, Surgery, Pedodontics In Dental Implant

We believe that implants are not just about replacing teeth. It is related to cosmetic dentistry, oral surgery, prosthodontics and also its lifetime maintenance related to periodontology. For this Dhanmondi Dental Center performed dental implantology by a team, comprising of dental implantology’s trained from America academy of implantol- ogy (AAID), prosthodontics, oral and maxillofacial surgeon and aesthetic dentist. All of them are well known in Bangladesh for their respective fields and this combination brings about results that are absolutely stunning and undoubtedly, unmatched.

Image

It’s simple: Brush and floss daily Keep an eye out for any changes in your dental health Visit your dentist for recommended check-ups and cleanings When properly cared for, your implant is designed to last decades or even a lifetime.

In House Radio Visual Graphics (RVG)

We are using low dose chair side portable radiology with radio visual graphic system which is absolutely vital for accurate planning and placement of impant.it also helps in the accurate evaluation of critical structure, like nerves teeth roots, sinus etc., thereby eliminating any chances of failure occurring due to misdiagnosis.

 

Our implant centers are equipped with these state-of-the-art machines to ensure a flawless execution of absolutely any type of implant case.

Image

Two Stage Implants

The procedure is carried out in two stages spread over a mini- mum interval of 3 months. The first stage involves the placement of the implants and requires one to two sessions. The second stage involves the fabrication of the crowns (teeth). This is an obsolete technology and only used in those few cases where single stage implants are clinically not possible.

Single Stage Implants

The latest in dental implant technology, this involves comple- tion of the entire procedure, right from extractions, implant placements and fabrica- tion of the crowns (teeth) in one stage of approximately two weeks. This system can be used for almost all types and categories of cases.

Image

Our Services

  • Dental implant Treatment
  • Failed Dental Implant treatment
  • Implant supported Denture
  • Full Jaw Rehabilitation
  • Sinus Lift
  • Management of Peri-implantitis
  • Implant care

Our Technologies

  • Osteotomy with implant osteotomy set 
  • PRP for bone regeneration
  • Surgical loup
  • CAD-CAM 

Testimonial

" I would like to take this time out to say thank you for all your work in regards to my teeth. You have taken a great deal of care and patience whilst attending to my teeth which I appreciate. It has been my pleasure to attend my appointments without the fear of something going wrong.

 

I am impressed with your knowledge and I am grateful for the explanations of each procedure at my appointments, which made me feel at ease. I am happy you were able to work on my teeth so quickly and efficiently. Also a big thank you to each member of staff at Dhanmondi Dental Center who always gave exceptional service on my visits."----Mrs. Yasmin

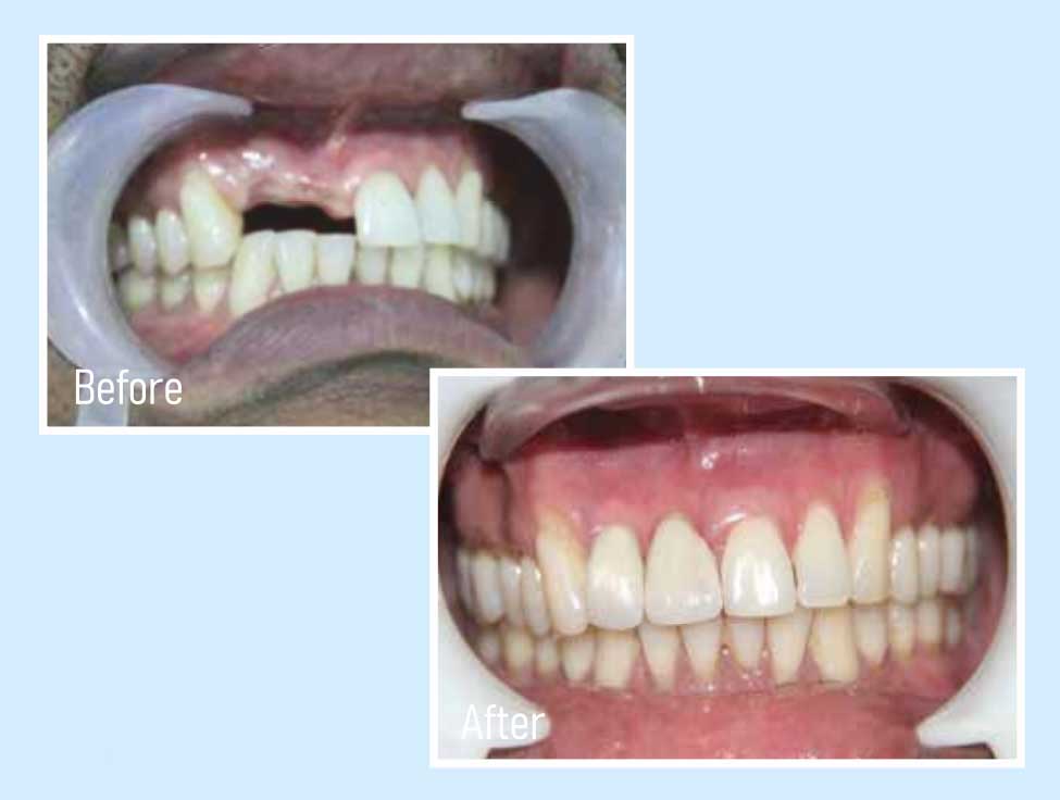
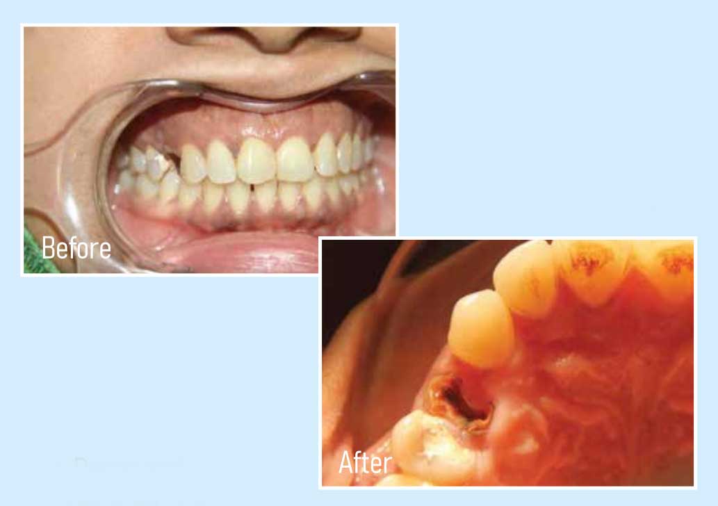
Dental Implant Gallery